© WWW.CILTUZMANI.COM Copyright © 2007 [ciltuzmani.com]. All rights reserved
Made by Babur
Cilt Uzmanı                    Uzm. Dr. Babür Süer
Dermatoloji &  Estetik Dermatoloji Uzmanından en tarafsız kaynak.

MASTOSİTOZİS

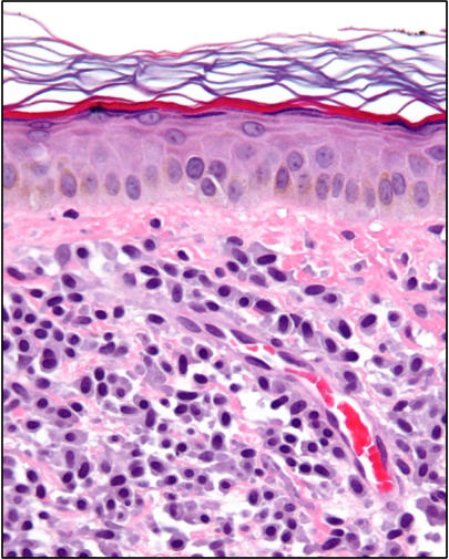
Mastositoz hem çocuklarda hem de erişkinlerde görülen bir hastalıktır. Dokularda mast hücresi çok fazla artmıştır. Mast hücrelerini cilt, lenf nodları, iç organlar (örneğin karaciğer ve dalak gibi) akciğer, mide ve bağırsak zarlarında bulabilirsiniz. Mast hücreleri, dokuları hastalıklardan korumak için, bağışıklık sistemine yardımcı önemli bir rol oynamaktadır. Mast hücreleri, histamin ve sitokinler gibi kimyasal "alarmları".serbest bırakarak, savunma sisteminin diğer önemli oyuncularını vücudunuzun ihtiyaç duyduğu alanlarına çeker. Mast hücresinin başka rolleri de vardır. Örneğin yaralar etrafında toplandığı için, yara iyileşmesinde rol oynayabileceği düşünülüyor. Bir yara iyileşirken etrafında hissettiğiniz tipik kaşıntı mast hücrelerinden salınan histamin nedeni ile olabilir. Araştırmacılar ayrıca mast hücrelerinin kan damarlarının büyümesinde bir role sahip olabileceğini düşünmektedir. Şimdiye kadar çok az mast hücresi olan veya hiç mast hücresi olmayan kimseye rastlanmadı. Bu gerçek, bazı bilim adamlarına, mast hücre sayısının çok az olmasının yaşam ile uyumsuz olabileceğini düşündürmektedir. Çok sayıda, mast hücresi ya da mastositoz varlığı, kutanöz veya sistemik olmak üzere iki şekilde görülür. Ürtiker pigmentosa olarak da isimlendirilen en yaygın kutanöz formu, mast hücrelerinin deriye sızması ile oluşur. Sistemik mastositoz, dokularda biriken mast hücrelerinden kaynaklanır, karaciğer, dalak, kemik iliği ve ince bağırsak gibi organları etkiler. Araştırmacılar 1869 yılında önce ürtiker pigmentosa’yı tanımlamışlardır. Sistemik mastositoz ilk kez 1949 yılında bilimsel literatürde bildirilmiştir. Mastositoz vakalarının gerçek sayısı ve tipi bilinmemektedir, ancak mastositoz az görüldüğü için genellikle "yetim hastalık."olarak kabul edilir.

Belirtileri

Deri, en sık tutulan organdır. Kütanöz yani deride görülen mastositoz hastaların %50-90’ı “ürtikerya pigmentoza” olarak isimlendirilen bir cilt lezyonuyla ortaya çıkarlar. Genellikle çocuklarda görülse de, erişkinlerde de rastlanabilir. Lezyonlar, ürtikerdekilere benzemez. Lezyonlar sıklıkla gövdede, kol ve bacaklarda bulunur; yüze ve güneş gören bölgelere yayılma eğilimi vardır. Çocuklarda sistemik formu pek görülmez ve çoğunlukla kendiliğinden iyileşir ama erişkinlerde kendiliğinden iyileşme pek görülmediği gibi sistemik tutulum olasılığı da fazladır. Bebeklik döneminde sarı kahverengi tek bir kabarıklık şeklinde olabilir. Çocuklukta deriden kabarık olmayan veya hafif kabarıklık kırmızı kahverengi döküntüler görülebilir. Koyu renkli kabarık veya kitle şeklinde lezyonlar olabilir. Çocuklarda deride su dolu kabarcıklar da olabilir. Cilt kaşındığında kaşınan bölgede kızarıklık ve kabarıklık gelişebilir. Lezyonlar; ısı değişimleri, anksiyete, fiziksel uyarılar, medikasyon ve egzersiz ile alevlenme gösterebilir. Lezyonların ürtikerya pigmentozadakine göre biraz daha büyük olduğu, tek soliter veya bir kaç mastositom şeklinde de olabilir. Bunun dışında bir de Diffüz kutane mastositoz adı verilen yaygın hamurumsu cilt kalınlaşması olan bir mastositoz formu da vardır. Sistemik olarak mast hücrelerinden salınan kimyasal maddeler, kızarma, kaşıntı, karın krampları, hatta şok gibi, vücudunuzun işleyişinde değişiklikler oluşturan tipik alerjik tepkilere neden olur. Vücudunuzda çok fazla mast hücresi olduğunda biyolojik olarak aktif medyatörlerin salınımı, iskelet kası ağrısı, bulantı, kusma, ülser, ishal, kaşıntı ve karın rahatsızlığa neden olabilir. Ayrıca hipotansiyon (çok düşük kan basıncı ve baygınlık) ya da anaflaksi (şok) ataklarına neden olabilir.

Tanı

Doktorunuz cildinizin görünümünden deri mastositozu teşhis edebilir ve deri biyopsisinde anormal derecede yüksek sayıda mast hücreleri bularak tanıyı teyit edebilir. Doktorunuz bir kemik iliği kontrolü sırasında, mast hücrelerinin sayısında anormal bir artış bularak sistemik mastositozu teşhis edebilir. Mastositozlu şüpheli bir vakada kandaki mast hücrelerinden bir protein (triptaz) ölçülebilir veya bu hastalıkla ilişkili belirli genetik mutasyonları aranabilir.

Tedavi

Mastositozlarda tedavi, hastalığın tipine, şikayetlerin şiddetine ve sistemik tutulumun varlığına göre değişir. Mast hücre infiltrasyonunu düzelten genel bir tedavi yoktur. Sistemik belirtileri tetikleyen şeylerden kaçınması hastaya öğretilebilir. Mast hücrelerinden salınan maddeler için semptomatik tedaviler uygulanabilir. Bu amaçla antihistaminikler (mast hücreden salınan histaminin etkisini önlemek için ) ve antikolinerjik (bağırsak krampını rahatlatmak için) da dahil olmak üzere mastositoz belirtilerinin, tedavisi için çeşitli ilaçlar kullanırlar. Semptomlar antihistaminikler ve kromolin sodyumu içeren topikal ve sistemik antimediatör tedavilere yanıt verir.
© WWW.CILTUZMANI.COM Copyright © 2007 [ciltuzmani.com]. All rights reserved
Cilt Uzmanı Uzm.Dr. Babür Süer
Uzmanından en tarafsız kaynak.

MASTOSİTOZİS

Mastositoz hem çocuklarda hem de erişkinlerde görülen bir hastalıktır. Dokularda mast hücresi çok fazla artmıştır. Mast hücrelerini cilt, lenf nodları, iç organlar (örneğin karaciğer ve dalak gibi) akciğer, mide ve bağırsak zarlarında bulabilirsiniz. Mast hücreleri, dokuları hastalıklardan korumak için, bağışıklık sistemine yardımcı önemli bir rol oynamaktadır. Mast hücreleri, histamin ve sitokinler gibi kimyasal "alarmları".serbest bırakarak, savunma sisteminin diğer önemli oyuncularını vücudunuzun ihtiyaç duyduğu alanlarına çeker. Mast hücresinin başka rolleri de vardır. Örneğin yaralar etrafında toplandığı için, yara iyileşmesinde rol oynayabileceği düşünülüyor. Bir yara iyileşirken etrafında hissettiğiniz tipik kaşıntı mast hücrelerinden salınan histamin nedeni ile olabilir. Araştırmacılar ayrıca mast hücrelerinin kan damarlarının büyümesinde bir role sahip olabileceğini düşünmektedir. Şimdiye kadar çok az mast hücresi olan veya hiç mast hücresi olmayan kimseye rastlanmadı. Bu gerçek, bazı bilim adamlarına, mast hücre sayısının çok az olmasının yaşam ile uyumsuz olabileceğini düşündürmektedir. Çok sayıda, mast hücresi ya da mastositoz varlığı, kutanöz veya sistemik olmak üzere iki şekilde görülür. Ürtiker pigmentosa olarak da isimlendirilen en yaygın kutanöz formu, mast hücrelerinin deriye sızması ile oluşur. Sistemik mastositoz, dokularda biriken mast hücrelerinden kaynaklanır, karaciğer, dalak, kemik iliği ve ince bağırsak gibi organları etkiler. Araştırmacılar 1869 yılında önce ürtiker pigmentosa’yı tanımlamışlardır. Sistemik mastositoz ilk kez 1949 yılında bilimsel literatürde bildirilmiştir. Mastositoz vakalarının gerçek sayısı ve tipi bilinmemektedir, ancak mastositoz az görüldüğü için genellikle "yetim hastalık."olarak kabul edilir.

Belirtileri

Deri, en sık tutulan organdır. Kütanöz yani deride görülen mastositoz hastaların %50-90’ı “ürtikerya pigmentoza” olarak isimlendirilen bir cilt lezyonuyla ortaya çıkarlar. Genellikle çocuklarda görülse de, erişkinlerde de rastlanabilir. Lezyonlar, ürtikerdekilere benzemez. Lezyonlar sıklıkla gövdede, kol ve bacaklarda bulunur; yüze ve güneş gören bölgelere yayılma eğilimi vardır. Çocuklarda sistemik formu pek görülmez ve çoğunlukla kendiliğinden iyileşir ama erişkinlerde kendiliğinden iyileşme pek görülmediği gibi sistemik tutulum olasılığı da fazladır. Bebeklik döneminde sarı kahverengi tek bir kabarıklık şeklinde olabilir. Çocuklukta deriden kabarık olmayan veya hafif kabarıklık kırmızı kahverengi döküntüler görülebilir. Koyu renkli kabarık veya kitle şeklinde lezyonlar olabilir. Çocuklarda deride su dolu kabarcıklar da olabilir. Cilt kaşındığında kaşınan bölgede kızarıklık ve kabarıklık gelişebilir. Lezyonlar; ısı değişimleri, anksiyete, fiziksel uyarılar, medikasyon ve egzersiz ile alevlenme gösterebilir. Lezyonların ürtikerya pigmentozadakine göre biraz daha büyük olduğu, tek soliter veya bir kaç mastositom şeklinde de olabilir. Bunun dışında bir de Diffüz kutane mastositoz adı verilen yaygın hamurumsu cilt kalınlaşması olan bir mastositoz formu da vardır. Sistemik olarak mast hücrelerinden salınan kimyasal maddeler, kızarma, kaşıntı, karın krampları, hatta şok gibi, vücudunuzun işleyişinde değişiklikler oluşturan tipik alerjik tepkilere neden olur. Vücudunuzda çok fazla mast hücresi olduğunda biyolojik olarak aktif medyatörlerin salınımı, iskelet kası ağrısı, bulantı, kusma, ülser, ishal, kaşıntı ve karın rahatsızlığa neden olabilir. Ayrıca hipotansiyon (çok düşük kan basıncı ve baygınlık) ya da anaflaksi (şok) ataklarına neden olabilir.

Tanı

Doktorunuz cildinizin görünümünden deri mastositozu teşhis edebilir ve deri biyopsisinde anormal derecede yüksek sayıda mast hücreleri bularak tanıyı teyit edebilir. Doktorunuz bir kemik iliği kontrolü sırasında, mast hücrelerinin sayısında anormal bir artış bularak sistemik mastositozu teşhis edebilir. Mastositozlu şüpheli bir vakada kandaki mast hücrelerinden bir protein (triptaz) ölçülebilir veya bu hastalıkla ilişkili belirli genetik mutasyonları aranabilir.

Tedavi

Mastositozlarda tedavi, hastalığın tipine, şikayetlerin şiddetine ve sistemik tutulumun varlığına göre değişir. Mast hücre infiltrasyonunu düzelten genel bir tedavi yoktur. Sistemik belirtileri tetikleyen şeylerden kaçınması hastaya öğretilebilir. Mast hücrelerinden salınan maddeler için semptomatik tedaviler uygulanabilir. Bu amaçla antihistaminikler (mast hücreden salınan histaminin etkisini önlemek için ) ve antikolinerjik (bağırsak krampını rahatlatmak için) da dahil olmak üzere mastositoz belirtilerinin, tedavisi için çeşitli ilaçlar kullanırlar. Semptomlar antihistaminikler ve kromolin sodyumu içeren topikal ve sistemik antimediatör tedavilere yanıt verir.